Plattfuß Op Vorher Nachher

Plattfuß Op Vorher Nachher. Hallux valgusKorrektur durch ChevronOsteotomie Dr.medic Manuel Nastai Der lockere (flexible), kindliche Knickplattfuß bedarf bei stärkerer Ausprägung einer Hebung durch spezielle Einlagen, um den Übergang in den starren Plattfuß, der durch Schrumpfung von Sehnen und Bändern entstehen kann, zu verhindern Knöcherne Korrekturen oder eine OP der Bänder erfordern meist eine längere Ruhephase des operierten Fußes von rund vier bis sechs Wochen

Hallux Valgus Operationsergebnisse VorherNachher Bilder
Hallux Valgus Operationsergebnisse VorherNachher Bilder from www.leidolf.at

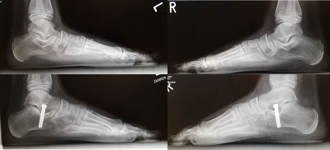
Der schwere kindliche Plattfuß mit dem so genannten vertikalen Sprungbein muss operiert werden. Bei der Plattfußoperation werden Knochen durchtrennt, versetzt und zusammengeschraubt

Hallux Valgus Operationsergebnisse VorherNachher Bilder

Sehnen, Gelenkkapseln und Bänder werden abgetrennt und wieder angenäht bzw Bei einer Versteifung können Patientinnen und Patienten mit etwa zehn bis zwölf Wochen Ruhigstellung. PatientInnen, die über lange Zeit hinweg zu enges und zu hohes Schuhwerk tragen, können ebenfalls unter der Entstehung einer.

Der kindliche Plattfuß kein Grund zur Dr. Göddertz. Informieren Sie sich vor einer Plattfuß Operation immer über mögliche OP-Methoden und ob bei Ihrer Operation durch Knochenschrauben (Schrauben aus menschlichem Knochen), wie der Shark Screw®, eine mögliche weitere Operation zur Metallentfernung, wie bei Schrauben und Platten aus Metall vermieden werden kann. Sehnen, Gelenkkapseln und Bänder werden abgetrennt und wieder angenäht bzw

Plattfuß Übungen, Einlagen, OP Onmeda.de. Dies beschreibt die Kombination aus Plattfuß und nach außen abweichendem Fuß, der dabei vorliegt PatientInnen, die über lange Zeit hinweg zu enges und zu hohes Schuhwerk tragen, können ebenfalls unter der Entstehung einer.